Художественная реставрация зубов, также известная как восстановление зубов, представляет собой процесс восстановления формы, функции и эстетики поврежденных, разрушенных . Она включает в себя различные методы и материалы, используемые для восстановления целостности зуба и улучшения его внешнего вида.
Композитный материал для реставрации зубов: Наиболее популярный материал для пломбирования и реставрации зубов благодаря своей эстетике (возможность подобрать цвет), прочности и хорошему сцеплению с тканями зуба.
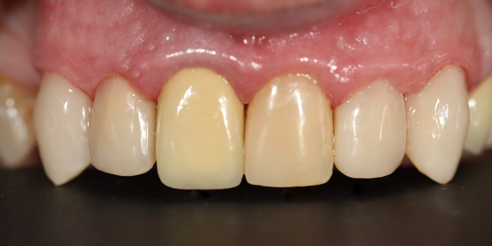
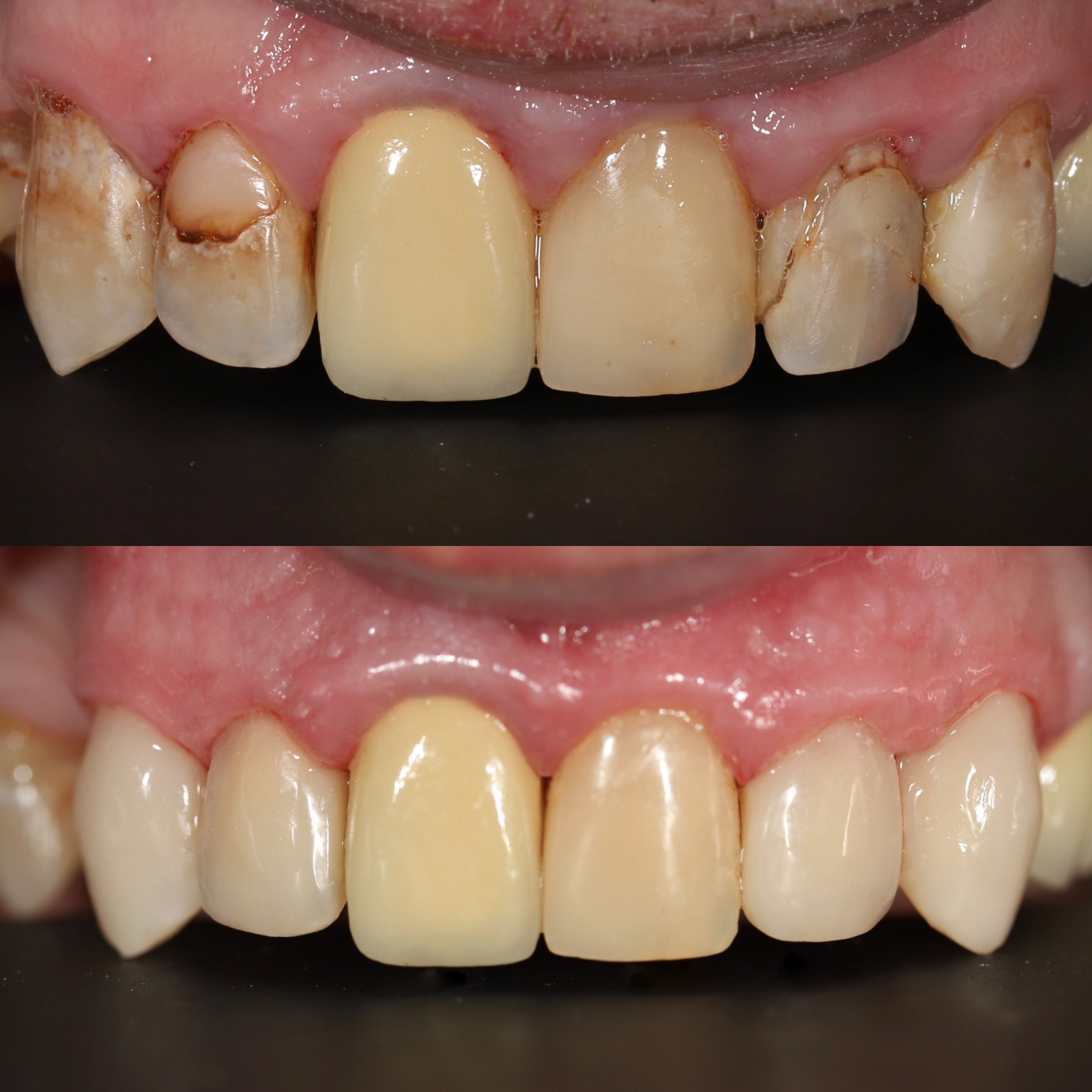
Композитная реставрация- это прямое восстановление зуба композитным материалом, выполняемое непосредственно в полости рта стоматологом. Используется для восстановления небольших сколов, трещин и изменения формы зубов
Композитная реставрация- это прямое восстановление зуба композитным материалом, выполняемое непосредственно в полости рта стоматологом. Используется для восстановления небольших сколов, трещин и изменения формы зубов
Цели реставрации зубов:
• Восстановление функции: Восстановление способности зуба правильно жевать и кусать.
• Улучшение эстетики: Восстановление естественного вида зуба, устранение дефектов, таких как сколы, трещины, пятна или неровности.
• Защита от дальнейшего разрушения: Предотвращение дальнейшего повреждения зуба кариесом, эрозией или травмами.
• Устранение боли и дискомфорта: Устранение боли, вызванной кариесом, чувствительностью зубов или другими проблемами.
• Восстановление речи: В некоторых случаях, восстановление передних зубов может улучшить произношение.
• Улучшение эстетики: Восстановление естественного вида зуба, устранение дефектов, таких как сколы, трещины, пятна или неровности.
• Защита от дальнейшего разрушения: Предотвращение дальнейшего повреждения зуба кариесом, эрозией или травмами.
• Устранение боли и дискомфорта: Устранение боли, вызванной кариесом, чувствительностью зубов или другими проблемами.
• Восстановление речи: В некоторых случаях, восстановление передних зубов может улучшить произношение.
Этапы реставрации зубов:
1. Диагностика и планирование: Осмотр зуба, рентгенография (при необходимости), определение оптимального метода реставрации.
2. Подготовка зуба: Удаление кариозных тканей, создание формы для фиксации реставрационного материала.
3. Изоляция зуба: Обеспечение сухости рабочей области (использование коффердама или других методов).
4. Нанесение адгезива (бондинг): Для улучшения сцепления реставрационного материала с тканями зуба.
5. Восстановление зуба: Нанесение и моделирование реставрационного материала слоями.
6. Завершающая обработка: Шлифовка и полировка восстановленного зуба для придания ему гладкости и блеска.
2. Подготовка зуба: Удаление кариозных тканей, создание формы для фиксации реставрационного материала.
3. Изоляция зуба: Обеспечение сухости рабочей области (использование коффердама или других методов).
4. Нанесение адгезива (бондинг): Для улучшения сцепления реставрационного материала с тканями зуба.
5. Восстановление зуба: Нанесение и моделирование реставрационного материала слоями.
6. Завершающая обработка: Шлифовка и полировка восстановленного зуба для придания ему гладкости и блеска.
Уход за отреставрированными зубами:
• Регулярная гигиена полости рта: Чистка зубов дважды в день, использование ирригатора.
• Регулярные посещения стоматолога: Для профилактических осмотров и профессиональной чистки зубов.
• Избегание чрезмерной нагрузки на отреставрированные зубы: Не грызть твердые предметы (орехи, лед).
• Регулярные посещения стоматолога: Для профилактических осмотров и профессиональной чистки зубов.
• Избегание чрезмерной нагрузки на отреставрированные зубы: Не грызть твердые предметы (орехи, лед).
Реставрация зубов позволяет восстановить их функцию, эстетику и защитить от дальнейшего разрушения. Современные методы и материалы позволяют достичь отличных результатов, делая улыбку красивой и здоровой. Важно выбрать квалифицированного стоматолога, который поможет подобрать оптимальный метод реставрации в соответствии с вашими потребностями и возможностями.